小麦田间“野生麦”,是新品种退化所致还是农家种的后代保留?

作者:种业商务网 2024/10/28 10:48:10
小麦田间“野生麦”目前在大部分麦田比较普遍(图1),也常常被视为小麦田间杂草。除了能从形态学上比较容易区分的大麦、燕麦、雀麦、节节麦等, 在田间“野生麦” 与小麦推广品种在株高、穗型、叶形和粒型等性状上往往存在较大差异。关于小麦田间“野生麦”的来源目前通常有两种观点:一种认为是新品种推广种植出现的品种退化所致;另一种认为是部分农家种的后代保留。为了明确小麦田间的“野生麦”可能的来源及其与农家种和现

小麦田间“野生麦”目前在大部分麦田比较普遍(图1),也常常被视为小麦田间杂草。除了能从形态学上比较容易区分的大麦、燕麦、雀麦、节节麦等, 在田间“野生麦” 与小麦推广品种在株高、穗型、叶形和粒型等性状上往往存在较大差异。关于小麦田间“野生麦”的来源目前通常有两种观点:一种认为是新品种推广种植出现的品种退化所致;另一种认为是部分农家种的后代保留。为了明确小麦田间的“野生麦”可能的来源及其与农家种和现代育成品种的亲缘关系,我们曾经在河南安阳市附近村镇麦田采集了40份“野生麦”,对其穗型、籽粒形态进行了形态鉴定,利用小麦SSR分子标记对其进行了检测,并与28份小麦农家种和主栽品种进行了亲缘关系分析,试图确定采自于河南省小麦田间“野生麦”的可能来源。

图片

1 材料和方法

40份“野生麦”采集自河南省安阳市周边村镇,28个小麦农家品种和现代育成小麦品种用于DNA亲缘关系比较分析(表1)。

图片


随机选用分布在7个小麦染色体上的12对小麦SSR引物GWM391、GWM539、GWM48、GWM210、GWM296、GWM294、GWM189、WMC285、WMC367、GWM372、DP553和DP620进行PCR扩增。DNA提取、PCR扩增、非变性聚丙烯酰胺凝胶电泳、数据分析、聚类分析均按常规操作。

2 结果

2.1“野生麦”的形态学鉴定

将40份采自河南省安阳周边村镇麦田的“野生麦”种子进行形态学鉴定,发现其中有7份是大麦,与其他田间“野生麦”种子的形态不同,与现代小麦品种种子的形态也有明显差异。种子形态观察结果与田间对其穗部形态的实际观察结果相符。

2.2 SSR标记的多态性分析

选择12对SSR引物对40份“野生麦”和28份小麦品种及农家种进行PCR扩增,扩增产物共检测到12个SSR标记的48个等位变异,等位变异数目范围为2~5个,平均每个位点检测到4个等位变异。根据标记检测结果计算出SSR引物的多态性信息量(PIC)变化范围从0.21~到0.81,平均值为0.61。

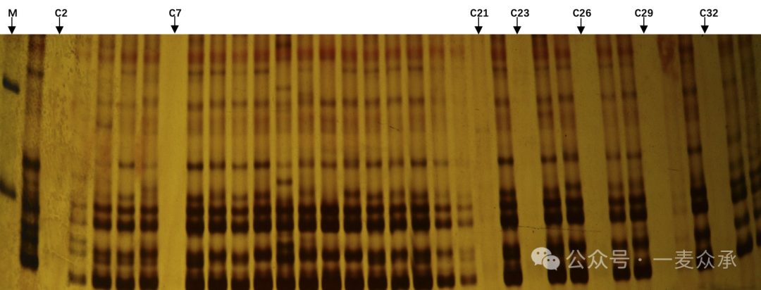
图2是SSR引物GWM210在34份“野生麦”中的扩增结果,可检测到4种等位变异类型,其中没有扩增条带的类型是大麦(C2,C7,C21,C23,C26,C29和C32),这与其形态学鉴定的结果一致。


2.3 SSR分子标记聚类分析

根据所有SSR标记在检测的“野生麦”和小麦育成品种及农家种间扩增出的多态性标记计算遗传相似系数,利用NTSYS软件进行聚类分析,聚类结果可以将所有的“野生麦”分为三类(图3):

第一类为大麦。包括C2、C7、C21、C23、C26、C29和C32这7个“野生麦”聚为一类,形态学鉴定结果表明这7个“野生麦”是大麦。

第二类与农家种亲缘关系较近,表明这些“野生麦”可能来源于农家种。C4、C5、C6、C8、C9、C11、C13、C15、C16、C17、C18、C22、C24、C25、C27、C28、C31、C33、C34、C36、C37、C39和C40这23个“野生麦”与农家种葫芦头、游白兰和排灯麦3个地方品种聚为一类。这其中“野生麦”C31与农家种葫芦头遗传相似性系数为0.95、“野生麦”C37与农家种游白兰遗传相似系数为0.95。葫芦头和游白兰是来源于黄淮麦区“关中平原”的代表性小麦农家种,田间“野生麦”与葫芦头和游白兰等农家种遗传关系较近,表明其可能来源于黄淮麦区早年种植的农家种。

                           

图片

图2  SSR引物GWM210在34份“野生麦”DNA中的扩增结果

    第三类与现代育成品种亲缘关系较近,表明其可能来自现代育成品种的混杂退化。C1、C10、C12、C14和C20这5个“野生麦”与19个现代育成品种聚成一类。其中“野生麦”C12和西农979遗传相似性系数为0.95、“野生麦”C20与周麦18遗传相似性系数为0.91、“野生麦”C1与石4185遗传相似系数为0.83。表明这些“野生麦”可能来源于现代育成品种的混杂退化。

图片

3讨论

3.1 “野生麦”类群与采集地的关系

根据“野生麦”的形态学性状和SRR分子标记分析可将采集自河南安阳周边村镇的“野生麦”分为3种类群,第一类是其他物种大麦,比较容易通过形态学性状区分。另外田间还经常见到燕麦、雀麦、节节麦等物种的混杂,都比较容易通过形态学性状与小麦进行区分。第二类是小麦农家种的混杂,或者还可能有农家种的天然杂交后代。小麦主产区基本已经实现了现代小麦育成品种的多次更新换代,极少有农家种在田间大面积种植。但不排除仍然有少数的农家种在个别地块的种植。另外许多育种单位的资源圃中还有许多农家种种植,在收获部分样品后剩余的材料都会用收割机混收,增加了农家种混杂传播到其他农田的机会。同时,农家种种子休眠期长、抗穗发芽努力强,一旦田间种植后,自然落粒,或者掉在田间的穗子上的种子经常在翌年的田间生长。我们的育种试验田中在种植农家种后,往往3-4年后田间还依然经常有这个农家种的植株混杂在田间的其他实验材料中。第三类是现代育成品种在推广种植中出现的品种混杂退化,拟或者天然杂交后代。一些种植自留种的麦田经常会观察到大量的多种类型的品种混杂。

多数来自于相同地点的“野生麦”可以分到相同的亚类群。例如安阳吕村镇的两个大麦材料分在同一个亚类,而安阳白璧镇的一份大麦分在另外一个亚类群,表明相同基因型的“野生麦”在临近地块间的传播。但是也会发现来自于不同村镇的“野生麦”基因型可以聚在一个亚类群,例如来自安阳吕村镇的C5和来自安阳高村镇的C39;另外还有来自于同一村镇的“野生麦”基因型被聚到不同的亚类群,例如来自安阳辛村镇的C15和C12,前者与农家种聚为一类,后者与现代育成品种聚为一类,表明麦田中的“野生麦”类型多样。产生这种“野生麦”的传播蔓延的原因可能与近年来大范围联合收割机跨区作业有关,“野生麦”种子在机收过程中存留在收割机和土壤表层中,不断扩大传播范围;另外,未经严格去杂和精选加工的小麦自留种种植,也导致“野生麦”的不断传播蔓延和大面积混杂退化。

3.2 SSR引物数量与对基因型分辨率的关系

有报道称仅用少数几个高PIC值(平均0.7968)的SSR位点,能够将我国不同时期选育的71份小麦品种(系)全部品种区分开,甚至选自同一组合的姐妹系品种也能区分开。另有相关研究利用5个多态性高的SSR标记可将48个小麦新品种(系)区分开,每个品种(系)都有各自独特的指纹图谱。可能这些研究中所用SSR引物的PIC值较高,因而分辨率高。而对于多态性低的SSR引物,增加引物数并不能增加引物的鉴别能力。

利用12个SSR多态性标记能够达到“野生麦”种质划分的目的,但一些小麦材料不能完全被鉴别出来,例如C37“野生麦”和C43农家种游白兰这两种基因型的相似性系数为0.95,在聚类分析树状图上并不能分别出来,这可能是所用到的SSR引物的PIC值(0.61)不够高,也可能是引物数目不够所致。如果选用PIC值更高的引物或者增加引物数目,对基因型的鉴别精度就会提高。

来源:一麦众承  刘志勇

相关推荐